კაცს თავის ტვინში ჭია აღმოუჩინეს, რომელიც ცუდად მოხარშული ხორცისგან გადაედო - რა დაადგინეს ამერიკელმა ექიმებმა - მშობლები

კაცს თავის ტვინში ჭია აღმოუჩინეს, რომელიც ცუდად მოხარშული ხორცისგან გადაედო - რა დაადგინეს ამერიკელმა ექიმებმა

2024-03-16 10:19:44+04:00
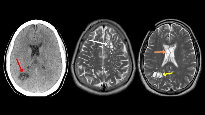
ფლორიდის საავადმყოფოში მამაკაცი შაკიკის ჩივილებით მივიდა. შესაბამისი კვლევის შედეგად აღმოჩნდა, რომ მას თავის ტვინში პარაზიტული ლენტის ჭიის ლარვები ჰქონდა - ამის შესახებ Journal of Case Reports-ში გამოქვეყნებულ მოხსენებაშია აღნიშნული.

პაციენტის თქმით, ოთხი თვის განმავლობაში იტანჯებოდა თავის ტკივილით, რომელიც ყოველკვირეულად უარესდებოდა, ტკივილგამაყუჩებელს არანაირი ეფექტი არ ჰქონდა

ექიმმა მას კომპიუტერული ტომოგრაფია ურჩია, შედეგად თავის ტვინში მრავლობითი კისტა აღმოჩნდა, თავდაპირველად ფიქრობდნენ, რომ ეს იშვიათი ნევროლოგიური მდგომარეობა უნდა ყოფილიყო, რომელსაც თანდაყოლილი ნეიროგლიური კისტა ეწოდება.

ლაბორატორიული კვლევის შედეგად დადგინდა, რომ თავის ტვინში არსებული კისტა, სინამდვილეში პარაზიტული ჭიის ლარვები იყო. ამან ინფექცია გამოიწვია, რომელსაც ნეიროცისტიცერკოზი ეწოდება.

ნეიროცისტიცერკოზი - ცისტიცერკით გამოწვეული დაავადებაა. ადამიანის ინფიცირება ხდება საკვებში ან წყალში არსებული პარაზიტის კვერცხების ჩაყლაპვით. ცისტიცერკების მოხვედრა თავის ტვინში იწვევს გონებრივ დეგრადაციას, დამბლას, ეპილეფსიურ შეტევებს და კრუნჩხვებს, რამაც საბოლოო ჯამში შეიძლება სიკვდილი გამოიწვიოს.

განაგრძეთ კითხვა